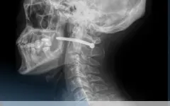
01:28 22.10.2025 Общество В Петропавловске мужчина случайно выстрелил себе гвоздем в шею Житель Петропавловска случайно выстрелил себе в шею гвоздём из пневмопистолета во время ремонта, передает ИА «NewTimes.kz». Петропавловскбольницатравмаврач Читать
Написать комментарий